Age: 72 years old
Gender: Female
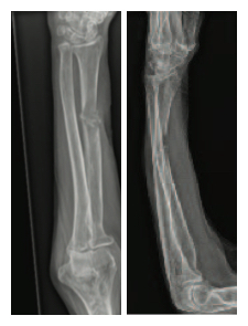
Diagnosis: Metastatic Renal Cell Carcinoma with pathologic fracture of the right radius and left ulna and significantly compromized bone quality.
Description of fracture: Pathologic fracture at the radial shaft with bony destruction measuring 5.8 cm; pathologic fracture mid-ulna measuring
5.2 cm with soft tissue component
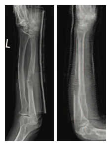
Description of treatment: Radiation to lesion followed by surgery utilizing two IlluminOss implants sizes: 11 mm x 180 mm in the radius augmented with a 3.5 mm small fragment LCP plate and 11 mm x 220 mm in the ulna augmented with a 3.5 mm small fragment LCP plate. To insert each implant, a small incision was made and an awl inserted. This was followed by the use of a reamer to create a pathway for the implant to be inserted into the intramedullary canal. A strong, PET (Dacron) balloon catheter was inserted into the intramedullary canal and infused with a 3 part multi-functional, methacrylate, photodynamic liquid monomer. A light box emitting visible blue light (436 nm) hardened the implant on demand. The implants provided immediate strength and rotational stability. Dr. Williams chose to utilize plates in conjunction with the IlluminOss implants due to the patient’s significantly compromised bone quality. The implants created a stable construct enabling the plates to be secured which was not achievable with hardware alone in this severely deteriorating and fragile bone.
Patient Outcome: Excellent. Patient had pain and inability to use her upper extremities for many months following pathologic fractures. She did extremely well following surgery and was even able to return to normal activities with no pain. Patient continues to do well post-operatively at 6 weeks and 3 months experiencing no issues with daily functions and no recurring pain.
Right Radius
Pre-op

6 Week Post-op

Left Ulna
Pre-op

6 Week Post-op
