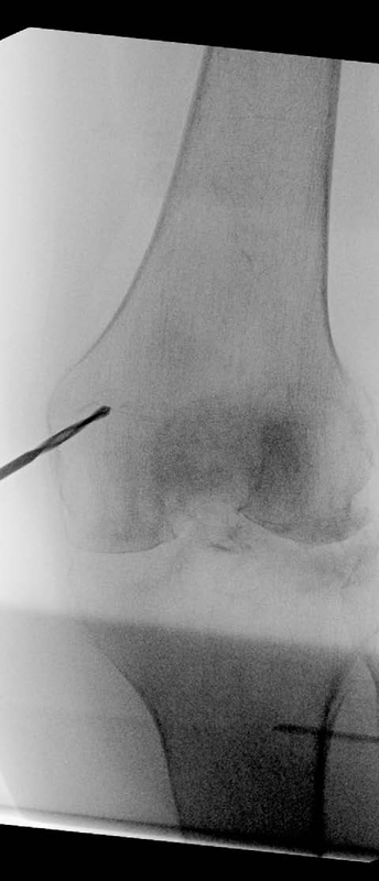
A 90-year-old patient presented with a periprosthetic femur fracture after a fall from a standing height fall. Patient is a community ambulator with no assistive walking device. X-rays revealed a long stem hip implant from a previous hemiarthroplasty. The fracture necessitated fixation and was treated operatively through a small incision in the medial distal femur. The guide wire was inserted to the tip of the stem before the implant was inserted. The IlluminOss implant was inserted, filled with liquid monomer, and cured with visible light. A plate and screw construct was placed laterally with screws extending into the hardened IlluminOss implant for support. Patient was allowed to weight bear as tolerated and reported no issues at follow up visit.



